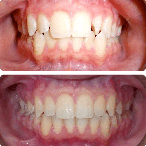
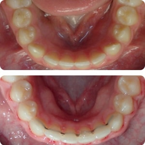
Before & After Photos
At Wired Orthodontics in Toronto, we take pride in creating the best results for our patients. Browse through our patient gallery to see some before & after photos. Toronto Orthodontist Dr. Nalbandian provides the best orthodontic care using Invisalign and braces for residents of Toronto, Scarborough, North York, and Markham. If you are considering orthodontic treatment, we would be happy to schedule a FREE exam to get you started. Contact our Toronto orthodontic office today at (647) 344-9473.
Contact Us
Why Get Braces
• Improve oral health
• Improve self confidence
• Improve self esteem
• Correct bite issues
• Improve ability to chew food
Why Choose Us?
• State of the art technology
• Experienced staff
• Commitment to patient care
• Timely and flexible appointments
• Open on Saturdays!
• Complimentary initial consultation
• Flexible payment plans
Read Patient Testimonials
