About Orthodontics in Toronto
At Wired Orthodontics in Toronto, we provide quality treatment options to both children and adults in order to correct a wide variety of common bite problems. If you experience any of the following bite disorders, schedule a complimentary consultation with Dr. Nalbandian and find out how we can help. We provide top quality orthodontic services to patients from Toronto, North York, Markham, and Scarborough.
Crossbite
A crossbite is caused when the upper teeth do not fit and match with the lower teeth. With a crossbite, the upper teeth bite inside the lower teeth. This can negatively impact your jaw, and prevent proper dental function.
Openbite
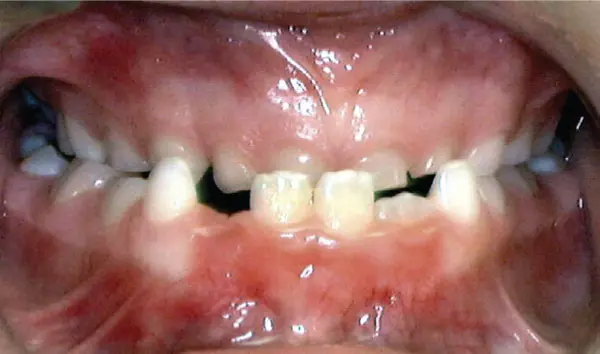
An openbite can be caused by improper jaw growth. However, it can also be caused by bad oral habits, such as finger sucking. With an openbite, the upper and lower front teeth do not overlap at all. This leaves a noticeable gap between the two. If an openbite is untreated, it can lead to unwanted habits like tongue thrusting.
Overbite
If your upper front teeth extend out and over the lower front teeth, this may be an overbite. Sever overbites' may cause the lower front teeth to actually bite into the roof of your mouth.
Overjet
When your lower teeth don't quite extend forward enough, it causes the upper teeth to appear to be too far forward. Overjet's are commonly caused by an imbalance of the upper and lower jaws, or incorrect molar alignment. Excessive finger sucking can also lead to an overjet bite. This type of bite disorder can impact the function and appearance of your teeth.
Underbite
When the lower teeth and jaw extend too far forward, causing the upper teeth and jaw to sit inside the lower, it is called an underbite. This is commonly caused by improper jaw growth, with the lower growing too much and the upper not developing enough.
How Braces Work
One of the treatment options available to correct the bites listed above are metal braces. But, how do braces actually work? Watch the video below to learn a little bit more about the actual parts of your braces. This will help you to care for, and also help you to better describe any problem or issues you may experience during treatment.
Contact Us
Why Get Braces
• Improve oral health
• Improve self confidence
• Improve self esteem
• Correct bite issues
• Improve ability to chew food
Why Choose Us?
• State of the art technology
• Experienced staff
• Commitment to patient care
• Timely and flexible appointments
• Open on Saturdays!
• Complimentary initial consultation
• Flexible payment plans
Read Patient Testimonials
